만져지지 않는 작은 종양도 정밀한 영상검사로 조기발견이 가능하기 때문입니다.
대학병원에서 유방암의 진단에 필수적인 영상검사와
조직검사 및 맘모톰 시술은 대부분 영상의학과에서 이루어집니다.
아무리 좋은 장비를 갖추었어도 진료를 담당한 의사가
영상검사 및 판독과 조직검사에 대한 전문성과 충분한 임상 경험이 없다면
암을 조기에 진단하거나, 양성 종양과 악성 종양을 정확히 구분하기 어렵습니다.
따라서 유방암 검진을 위한 병원을 선택할 때에는
유방 영상 판독에 특화된 영상의학과 전문의가 있는지를 따져봐야 합니다.
영상의학과 전문의로서 여성들의
유방 건강을 책임지고 있습니다
현재까지 직접 진단하고
시술하고 있습니다
풍부한 경험을
갖추고 있습니다
서울성모병원 유방클리닉 재직 시부터
쌓은 다양한 임상 경험으로 전문적이고
차별화된 진료를 제공합니다.
영상의학과 전문의가
직접 영상 판독과 진단을 진행해
필요한 진료만 제공합니다.
유방 종양이 양성인지 악성(유방암)인지,
그리고 시술이 필요한지까지
신속하고 정확하게 진단합니다.
유방전문 방사선사 자격증을 소지한
전문 방사선사가 상주해
결과의 정확성을 높입니다.
환자의 상태에 따라
알맞은 자세와 세밀한 조정을 거쳐
최적의 검사를 진행합니다.
대학병원급 장비들을 갖추고,
장비의 화질 등을 엄격히
관리하고 있습니다.
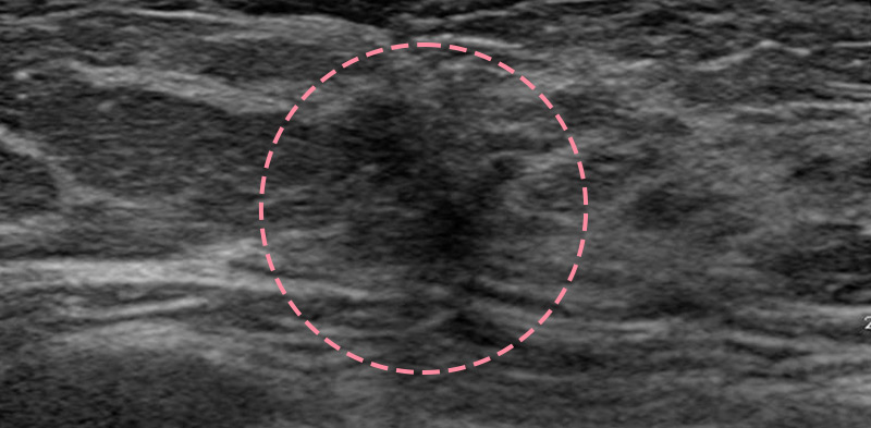
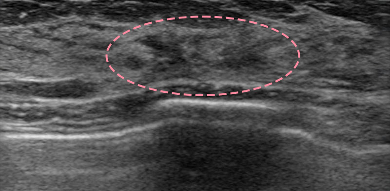
맘모톰시술 후 병리조직검사에서 상피내암(조기유방암)으로 진단되어 대학병원으로 연계해 드린 환자분의 사례입니다. 암을 초기 단계에 찾음으로써 항암치료 없이 간단한 수술을 통해 치료가 가능하였습니다.




한송이영상의학과 한송이 대표원장은 2003년 국내 최초
맘모톰 도입 초기부터 현재까지 직접 진단하고 시술하고 있습니다
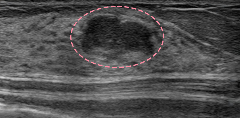
유방 양성 종양은 한 개만 나타나는 것이 아니라 동시다발적으로 생겨나기도 합니다.
여러 개의 양성 종양 제거는 정상적인 유방 조직을 온전히 보전할 수 있도록 섬세한 시술이 필요합니다.
한송이 원장은 다발성 종양 제거에 대한 풍부한 경험을 토대로, 무리 없이 맘모톰 조직검사 및 제거를 진행했습니다.
맘모톰시술 6개월 후 유방초음파 검사 시행 결과 종양이 깨끗하게 제거됨을 확인했으며, 약간의 반흔 조직이 남았으나 시간이 지나면서 대부분 사라지기 때문에 좋은 예후가 기대되었습니다.
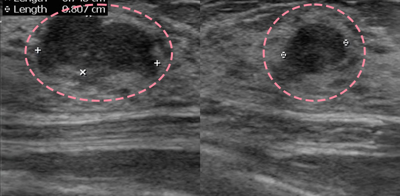
매우 빠르게 자라는 유방 종양 수술을 위해 외국에서 내원한 17세 환자의 사례입니다.
3cm 이상의 유방 종양은 외과적 수술로 제거하는 것이 원칙이고, 대부분의 경우 대학병원으로 연계됩니다.
그러나 한송이 원장은 대학병원에서의 고난도 시술 경력을 다수 보유하고 있어 크기가 큰 종양도 맘모톰 시술로 가능하였습니다.
3번에 걸쳐 맘모톰시술을 시행한 결과 성공적으로 제거를 마칠 수 있었습니다. 외과적 절제로 생길 수 있었을 흉터를 원치 않으셨던 환자와 보호자분 모두 시술 결과에 만족하셨습니다. 매년 추적 검사를 시행하고 있으며, 깨끗이 제거된 상태를 잘 유지하는 중입니다.
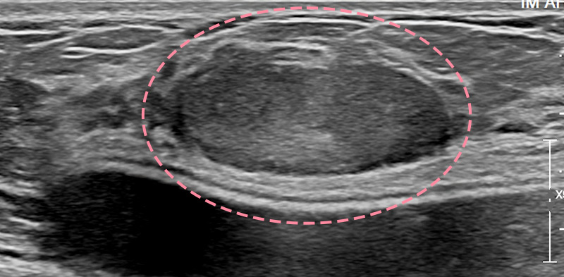
보형물 가슴성형 후 제법 크기가 있는 종양이 발견된 사례입니다.
가슴성형 후 맘모톰시술은 보형물의 위치를 파악하면서 바늘을 다루어야 하기 때문에 고도의 숙련도와 정밀한 판독 능력이 필요합니다.
한송이 원장은 다양한 사례를 접해온 경험과 전문성을 바탕으로 시술을 성공적으로 마쳤습니다.
총조직검사 후 최종 진단 결과 양성 종양(섬유선종)으로 확인되어 맘모톰 시술로 제거를 진행했습니다. 7개월 경과 후 검사를 통해 인공 보형물의 누수 및 파손 없이 깨끗한 내부 상태가 확인되었습니다.
이상 소견이 있을 시 국내 유명 대학병원과의 협력을 통해 가장 빠르고 편안하게 원하시는 병원으로 연계할 수 있습니다.
또한 환자분의 상황에 가장 적합한, 믿을 수 있는 전문의를 추천해 드리고 있어 보다 심화적인 검사 및 조치가 필요한 상황에도 안심하실 수 있습니다.












처음에는 당황스럽고 무서웠지만 일찍 발견한 덕분에 금방 좋아질 수 있었네요.지금도 여기에서 정기 검진 받고 있습니다.
한쪽 유방 멍울이 평소와 너무 다르고 통증이 심해서 방문하였습니다. 여러 검진 모두 굉장히 꼼꼼히 봐 주셨고, MRI 전문 병원까지 소개해 주셔서 결과 확인 후 안심할 수 있었습니다.
검사 전에 이것저것 걱정했는데 괜히 더 해보자는 말 없이 이유를 같이 설명해줘서 오히려 믿음이 갔습니다. 과하지 않게 필요한 만큼만 진료해 주는 느낌입니다.
가슴 성형 전에 유방 검사 제대로 받아봐야 한다고 해서 서치하다가 방문했어요. 확실히 유방 위주로 하는 곳이 다르긴 하네요. 이렇게 꼼꼼하게 받아본 검사는 처음이었습니다.
